
By
6種複合免疫療法

By
国立がん研究センター

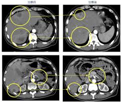
By
国立がん研究センター

By
6種複合免疫療法

By
TGC東京がんクリニック

By
NPO法人キャンサーネットジャパン

By
快適医療ネットワーク

By
プレシジョンクリニック

By
りんくう総合医療センター

By
一般社団法人 日本肝胆膵外科学会
![医師監修・作成]膵臓がんの統計:患者数、ステージごとの生存率と余命など | MEDLEY(メドレー)](https://i0.wp.com/cdn.medley.life/editorial_pics/31487b3c348b1b84038e3f61aa0c3793.png?ssl=1)
By
MEDLEY

By
一般社団法人 日本がん難病サポート協会

By
www.amazon.co.jp

By
日置クリニック

By
福岡同仁クリニック
![医師監修・作成]膵臓がんのステージ:ステージ分類から生存率(余命)などについて | MEDLEY(メドレー)](https://i0.wp.com/cdn.medley.life/editorial_pics/7bf830bc604c229748c8abf8809fe935.png?ssl=1)
By
MEDLEY

By
日置クリニック

By
6種複合免疫療法

By
銀座みやこクリニック

By
済生会横浜市東部病院
肝臓 が肝臓 ん肝臓 ステージ肝臓 3肝臓 余命肝臓 肝臓がんステージ4の余命とは?肝臓 肝転移と末期の生存率についても解説肝臓 |肝臓 がん患者様のためのお役立ちブログ肝臓 |肝臓 6種複合免疫療法肝臓 余命1ヶ月と宣告された膵臓がんステージⅣの患者さまの展開肝臓 -肝臓 がん治療専門院|免疫療法|膵臓がん|プレシジョンクリニック肝臓 Amazon.co.jp:肝臓 余命1年ステージ4のがんを消して10年生きた私がしたこと肝臓 :肝臓 志澤